Tedavilerimiz
Özel Ena Ağız ve Diş Sağlığı Polikliniği
"Site içeriğinde bulunan bilgiler bilgilendirmek içindir, bu bilgilendirme kesinlikle hekimin hastasını tıbbi amaçla muayene etmesi veya tanı koyması yerine geçmez."
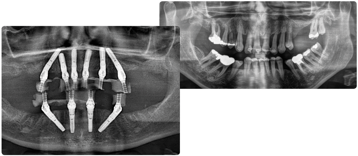
FAST & FIXED İmplant Yöntemi (All on Four)
Fast & Fixed implant tekniği, tam dişsiz hastalarda belirlenen açılara göre yerleştirilen ; dört adet dental implant üzerine diş protezinin sabitlenmesini sağlayan bir yöntemdir.
...
Tam dişsiz hastalara aynı gün, tek bir cerrahi işlem ile geçici veya daimi sabit diş protezi yapılabilme imkânı sunar.
...
Geçici yapıldığı durumlarda hasta implantın kemikle osteoentegre olma sürecinde hastaya konfor sağlar.
Sonrasında daimi protezi yapılır.
Gerekli görüldüğünde implant sayısı 5 veya 6’ya çıkarılabilir.

facebook
Instagram